Loading...
 

Vitamin D prevents smoke lung damage in mice (If you must smoke, take vitamin D) – Nov 2019

Effect of Vitamin D3 on Lung Damage Induced by Cigarette Smoke in Mice

Open Med (Wars). 2019; 14: 827–832, . doi: 10.1515/med-2019-0096
Xin Zheng,*,1 Nini Qu,1 Lina Wang,1 Guoli Wang,1 Rui Jiao,1 Hu Deng,1 Sijia Li,2 and Yibing Qin2

VitaminDWiki

1 hour of smoke per day, 6 days a week, for 16 weeks
21 gram mice, 1,000 IU Vitamin D (daily?) (study also tried 2,000 and 3,000 IU)
A human weighs about 3,800 X more than a 21 gram mouse
Vitamin D equiv. for human would thus be 3.8 million IU – which seems very unlikely


Comments by founder of VitaminDWiki

Seems like far too much vitamin D was used by this study.
A daily loading dose of 50,000 IU each day for the first week is popular (to quickly restore vitamin D levels)
4,000 IU daily on-going for humans is popular (or 50,000 IU every 2 weeks)
IF the dose size is proportional to weight between mice and humans, then mouse doses should be~ 4000 X smaller

See also VitaminDWiki

Smoking reduces vitamin D - many studies contains the following

Two pathways are often proposed for how smoking decreases vitamin D:
   1) Smoking decreases Calcium. and Vitamin D is used up in replacing the Calcium
   2) Smoking injures the body, and vitamin D is used up in repairing the body
It appears that taking Vitamin D while smoking will:
   1) Decrease the incidence of the many health problems associated with smoking - even lung cancer
   2) Decrease the desire to smoke (perhaps take fewer smoking breaks?)
   3) Increase breathing capacity
Opinion: If you must smoke, have recently smoked, or are getting 2nd hand smoke:
   take Vitamin D and perhaps Omega-3
    They will extinguish much of the inflammation caused by inhaling tobacco smoke.

Vitamin D should also help people quit smoking
   1) Reduces weight gain associated with quitting smoking
   2) Reduces depression associated with quitting smoking

 Download the PDF from VitaminDWiki

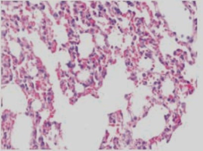
Far less inflammation @ 16 weeks in mice getting Vitamin D

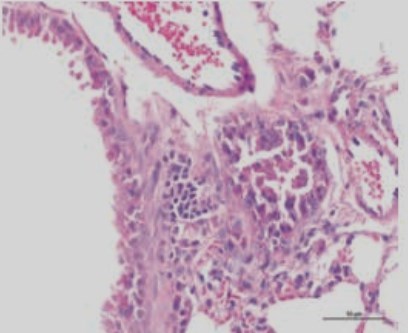
Image
Almost as low inflammation as "non-smokers"

Lung microphotograph - normal

Image

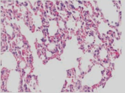
Lung microphotograph after 16 weeks of smoke

Image

Lung microphotograph after 16 weeks of smoke and Vitamin D

Image

Cigarette smoking is known to induce serious lung diseases, but there is not an effective method to solve this problem. The present study investigated vitamin D3 on over-expression of CXCR3 and CXCL10 in mice induced by cigarette smoking. A pulmonary airway model was designed, and morphological assessment of emphysema, IL-4, IFN-γ and CXCL10 concentration in bronchoalveolar lavage fluids, expression of CXCR3 and CXCL10 were detected. Emphysema of the mice only exposed to cigarette smoke was significant, and concentration of IL-4, IFN-γ and CXCL10 was also increased. In addition, CXCR3 and CXCL10 were over-expressed. The degree of emphysema, concentration of IL-4, IFN-γ and CXCL10, and expression of CXCR3 and CXCL10 in mice administrated with low dose vitamin D3 were similar to the normally treated mice. Low dose of vitamin D3 can effectively protect the lung from the damage induced by cigarette smoke.


References

  1. Spira, A., Beane, J., Shah, V., et al., Effects of cigarette smoke on the human airway epithelial cell transcriptome. Proc. Natl. Acad. Sci. US A 2004, 101(27) :10143-10148. doi:10.1073/ pnas.0401422101
  2. Talukder, M.A., Johnson, W.M., Varadharaj, S., et al., Chronic cigarette smoking causes hypertension, increased oxidative stress, impaired NO bioavailability, endothelial dysfunction, and cardiac remodeling in mice. Am. J. Physiol. Heart Circ. Physiol. 2011,300 :388-396. doi:10.1152/ ajpheart.00868.2010
  3. D’Hulst, A.I., Vermaelen, K.Y., Brusselle, G.G., Joos, G.F., Pauwels, R.A., Time course of cigarette smoke-induced pulmonary inflammation in mice. Eur. Respir. J., 26:204-213. doi:10.1183/09031936.05.00095204
  4. Sopori, M. Cigarette smoke on immune system. Nature, 2: 372-377.
  5. R.Stampfli, M., P.Anderson, G. Cigarette smoke lung desease and cancer. Nature, 2009, 9:377-384.
  6. Wang, J.M., Liu, W., Marion, C., et al., Interleukin-15 regulates retinoic acid beta in the lung during cigarette smoking and influenza virus infection. Am. J. Respire. Cell Mol. Boil.,2015, 53(6) :822-823. doi: 10.1165/rcmb.2014-0448OC
  7. Weigt, S.S., Derhovanessian, A., Liao, E., et al., CXCR3 chemokine ligands during respiratory viral infections predict lung allograft dysfunction. Am. J. Transplant, 2012,12:477-484. doi: 10.1111/j.1600-6143.2011.03859.x
  8. Shen, D.Q., Cao, X.X., Potential role of CXCR3 in proliferation and invasion of prostate cancer cells. Int. J. Clin. Exp. Pathol., 2015,8(7): 8091-8098.
  9. Wijtmans, M., Scholten, D., Mooij, W., et al., Exploring the CXCR3 Chemokine Receptor with Small-Molecule Antagonists and Agonists. Top. Med. Chem., 2014,14:119-185. doi:10.1007/7355_2014_75
  10. Li, Y., Reader, J.C., Ma, X., Kundu, N., Kochel, T., Fulton, A.M.,Divergent roles of CXCR3 isoforms in promoting cancer stem-like cell survival and metastasis. Breast Cancer Res. Treat., 2015,149: 403-415. doi:10.1007/s10549-014-3229-7
  11. Dong, S., Zhang, X., He, Y., et al., Synergy of IL-27 and TNF-alpha in regulating CXCL10 expression in lung fibroblasts. Am. J. Respir. Cell Mol. Biol., 2013. 48(4): 518-530. doi:10.1165/rcmb.2012-0340OC
  12. Groom, J.R., Luster, A.D., CXCR3 in T cell function. Exp. Cell Res., 2011, 317(5): 620-631. doi:10.1016/j.yexcr.2010.12.017
  13. Giovannucci, E.,The epidemiology of vitamin D and cancer incidence and mortality: a review. Cancer Cause Control, 2005,16:83-95.
  14. Robsahm, T.D., Tretli, S., Dahlback, A., Moan, J., Vitamin D3 from sunlight may improve the prognosis of breast-, colon- and prostate cancer. Cancer Cause Control, 2004.,15:149-158.
  15. Armas, L.A., Hollis, B.W., Heaney, R.P.,Vitamin D2 is much less effective than vitamin D3 in humans. J. Clin. Endocrinol. Metab., 2004,89(11): 5387-5391. doi:10.1210/jc.2004-0360
  16. De, Cunto, G., Cardini, S., Cirino, G., Geppetti, P., Lungarella, G., Lucattelli, M., Pulmonary hypertension in smoking mice over-expressing protease-activated receptor-2. Eur. Respir. J., 2011,37: 823-834. doi:10.1183/09031936.00060210
  17. van der Vaart, H., Postma, D.S., Timens, W. ten Hacken, N.H.,Acute effects of cigarette smoke on inflammation and oxidative stress: a review. Thorax., 2004,59:713-21.
  18. Piemonti, L.,Vitamin D3 Affects Differentiation, Maturation, and Function of Human Monocyte-Derived Dendritic Cells. J. Immunol., 2000,164:4443-4451. doi:10.4049/ jimmunol.164.9.4443
  19. Pu, Y., Li, S., Zhang, C., Bao, Z., Yang, Z., Sun, L.,High expression of CXCR3 is an independent prognostic factor in glioblastoma patients that promotes an invasive phenotype. J. Neurooncol., 2015,122:43-51. doi:10.1007/s11060- 014-1692-y
  20. McPhee, C.G., Increased expression of Cxcr3 and its ligands, Cxcl9 and Cxcl10, during the development of alopecia areata in the mouse. J. Invest. Dermatol., 2012,132(6):1736-1738. doi:10.1038/jid.2012.17
  21. Romagnani, P., Crescioli, C., CXCL10: a candidate biomarker in transplantation. Clin. Chim. Acta., 2012,413:1364-1373. doi:10.1016/j.cca.2012.02.009
  22. Jiang, D., Long-term exposure of chemokine CXCL10 causes bronchiolitis-like inflammation. Am. J. Respir. Cell Mol. Biol.,2012,46(5):592-598. doi:10.1165/rcmb.2011-0116OC
  23. Liu, M., CXCL10 in infectious diseases pathogenesis and potential therapeutic implications. Cytokine Growth Factor Rev.,2011,22(3):121-130. doi:10.1016/j.cytogfr.2011.06.001
  24. Ostvik, A.E., Enhanced expression of CXCL10 in inflammatory bowel disease: potential role of mucosal Toll-like receptor 3 stimulation. Inflamm. Bowel. Dis., 2013,19: 265-274. doi:10.1002/ibd.23034


Created by admin. Last Modification: Saturday November 23, 2019 14:52:41 GMT-0000 by admin. (Version 11)

Attached files

ID Name Comment Uploaded Size Downloads
13035 Smoke + Vit D.jpg admin 23 Nov, 2019 27.47 Kb 679
13034 Smoke.jpg admin 23 Nov, 2019 18.01 Kb 655
13033 No smoke.jpg admin 23 Nov, 2019 30.84 Kb 739
13032 Smoke IP-10.jpg admin 23 Nov, 2019 18.92 Kb 748
13031 Effect of Vitamin D 3 on Lung Damage Induced by Cigarette Smoke.pdf admin 23 Nov, 2019 712.78 Kb 697